Cosmetic Dental Crown and Bridge

Case One

Before and After

Close-up of a person's mouth showing discolored and damaged teeth.
Close-up of a person's smiling mouth showing teeth.
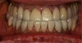
Close-up of a person's open mouth showing their upper and lower teeth and gums.
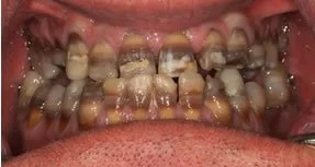
Close-up of severely decayed and discolored teeth with tartar buildup and gum inflammation.

Case Two

Before and After

Close-up of a smiling person's mouth showing yellowed and uneven teeth.

Case Three

Before and After

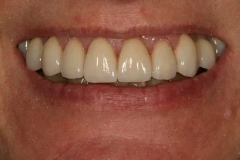
Close-up of a person's smiling mouth showing white upper teeth.
Close-up of a person's open mouth showing yellowed and misaligned teeth.

Case Four

Before and After

Close-up of a person's mouth showing their teeth with some plaque and discoloration, with a dental mirror positioned inside.
Close-up of a person's mouth showing teeth and lips.
Close-up of a person's smile showing crooked, discolored teeth.

Case Five

Before and After