Cosmetic Dental Veneers

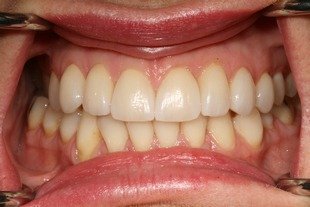
Case One

Before and After

Close-up of a person's teeth with chipping and discoloration in the front teeth.
Close-up of a person's smiling mouth showing their upper and lower teeth.
Close-up of a person's smiling mouth showing white teeth
Close-up of a person's mouth showing discolored, crooked, and decayed teeth.

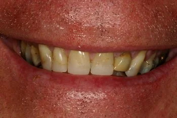
Case Two

Before and After

Close-up of a smiling person's mouth showing their teeth and lips.

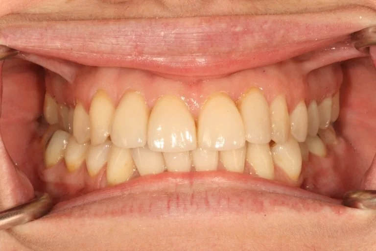
Case Three

Before and After

Close-up of a person's smiling mouth showing white teeth and pink lips.
Close-up of a person's open mouth showing upper and lower teeth, with some teeth slightly overlapping.

Case Four

Before and After

Close-up of a person's open mouth showing teeth and gums