Dental Implants

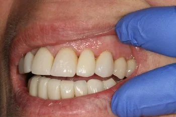
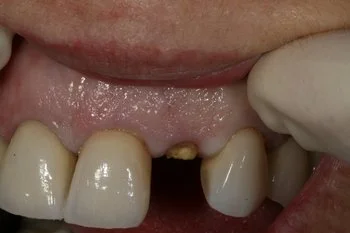
Case One

Before and After

Close-up of a person's mouth showing the upper front teeth with a missing tooth and dental issues.
Close-up of a person's mouth showing upper and lower teeth with a gloved finger pulling back the upper lip.
Close-up of a person's smiling mouth showing straight, white teeth.
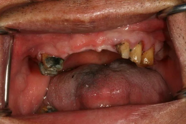
Close-up of a person's open mouth showing decayed and damaged upper teeth with significant dental decay and discoloration.

Case Two

Before and After